В Петропавловске мужчина случайно выстрелил себе гвоздем в шею

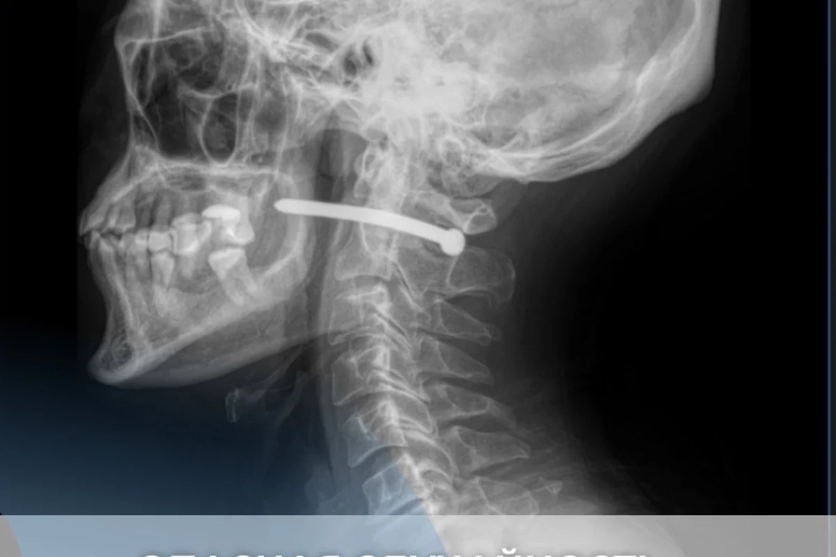
Как рассказали в многопрофильной городской больнице скорой медицинской помощи, 51-летний мужчина обратился с раной в заушной области.

Во время ремонтных работ он по неосторожности получил травму гвоздём из пневматического пистолета. После рентген-исследования выяснилось, что гвоздь прошёл рядом с шейным отделом позвоночника.

«Мужчине чудом повезло — жизненно важные структуры не были задеты. Челюстно-лицевыми хирургами проведено удаление инородного тела, ревизия и обработка раны. После наложения швов и стерильной повязки пациент с рекомендациями отпущен домой», — сообщили в больнице.

Врачи подчеркивают, травмы в области шеи крайне опасны — рядом проходят крупные сосуды, нервы, дыхательные пути и спинной мозг. Даже небольшое повреждение может привести к серьёзным последствиям.