Двухлетний ребенок получил травму из-за подростка в Алматы: в полиции озвучили новые данные

После появления в соцсетях обращения матери двухлетнего ребенка, которого о землю ударил подросток, за деяния несовершеннолетнего наказали родителей, передает NUR.KZ со ссылкой на ДП Алматы.

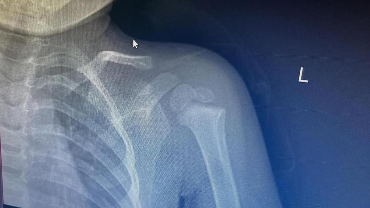
Сегодня мы писали, что в Сети появилось видео, где подросток, вероятно, ударил о землю двухлетнего ребенка - пострадавший сломал руку. Мать малыша рассказала подробности.

Отмечалось, что в полиции завели уголовное дело. Но по словам женщины, в правоохранительных органах ей сказали, что несовершеннолетний ответственности не понесет.

Редакции в Департаменте полиции Алматы сообщили, что заведено уголовное дело.

Однако чуть позже корреспонденту NUR.KZ в ведомстве озвучили подробности по данному делу.

"За ненадлежащее исполнение обязанностей по воспитанию родители подростка привлечены к ответственности", - сказали в пресс-службе ДП Алматы.

Также отмечается, что в настоящее время проводится комплекс следственных мероприятий, направленных на установление всех обстоятельств произошедшего.

Напомним, ранее в Астане семилетний ребенок получил травмы после драки с десятилетним мальчиком. В полиции не смогли возбудить уголовное дело.

До этого в Сети появились кадры избиения ребенка - инцидент произошел почти месяц назад. В игровой комнате в одном из ресторанов города мужчина несколько раз ударил ребенка в область ягодиц.

Эксклюзивный контент и новости только для вас! Подпишитесь на Telegram!

Подписаться