Столичные врачи удалили шестилетней девочке большую кисту селезенки

Фото: dgkb-9.ru
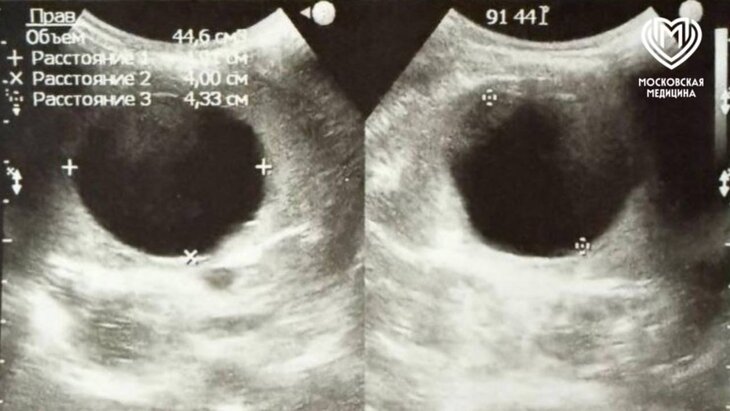
Хирурги Детской городской клинической больницы № 9 имени Сперанского удалили шестилетней девочке кисту, занимавшую большую часть селезенки. Об этом сообщила пресс-служба департамента здравоохранения Москвы.
"Исследования брюшной полости показали: киста занимает две трети селезенки и располагается возле крупных магистральных сосудов, которые кровоснабжают орган", – говорится в сообщении.
В Депздраве отметили, что чаще всего при подобных размерах кисты орган удаляют. Однако московским хирургам удалось сохранить ребенку селезенку. В настоящее время девочка уже выписана домой.
Ранее врачи Видновской больницы спасли трехлетнюю девочку, которая случайно попробовала гель от насекомых. Инцидент произошел, когда мама ребенка решила провести генеральную уборку на кухне, выставив все предметы из шкафов на стол.
Женщина ненадолго отлучилась. В это время девочка попробовала жидкость из яркого тюбика. После ребенок рассказал о случившемся родителям. Юной пациентке медики сделали промывание желудка и инфузионную терапию.
Столичные врачи спасли пациента с поражением трех сердечных клапанов