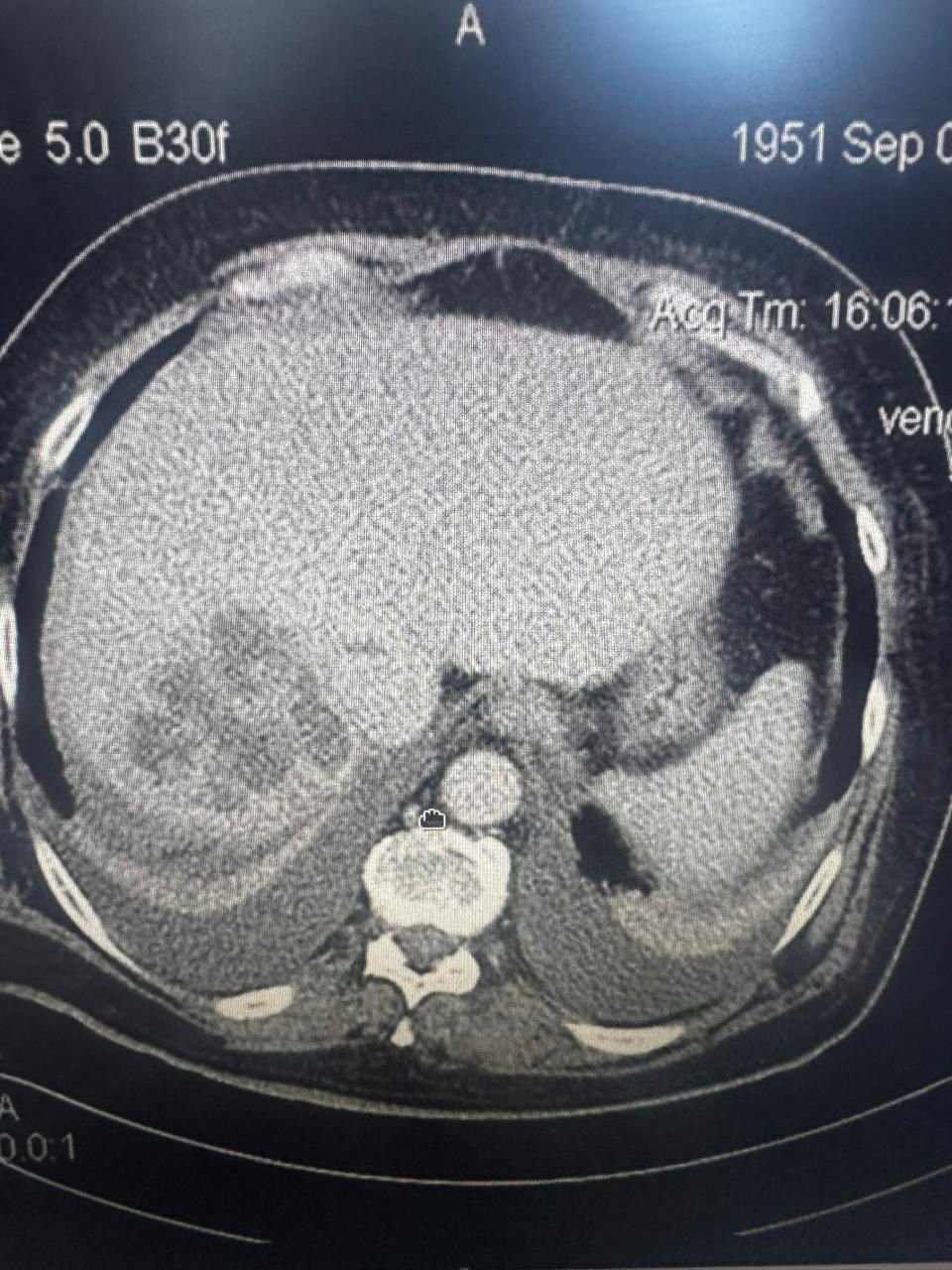
PrimaMedia, 26 ноября. Жителя Приморья экстренно доставили в больницу Владивостока с острой болью, где врачи обнаружили у него кисту размером с целый орган. Хирургам удалось спасти 53-летнего пациента и избежать сложной полостной операции, сообщила пресс-служба Минздрава Приморья.
"Под местной анестезией, под контролем УЗИ мы выбрали оптимальную точку доступа, установили дренаж и эвакуировали около двух литров жидкости из кисты. Затем ввели склерозирующие препараты — они позволяют “склеить” полость и избежать повторного заполнения", — приводит пресс-служба слова руководителя отделения общей хирургии Игоря Кондрашова.
Отмечается, что благодаря малоинвазивной методике пациенту удалось избежать обширных разрезов и длительного периода восстановления. Уже через несколько дней наблюдения в стационаре мужчина сможет вернуться к нормальной жизни.
В День хирурга — репортаж из самой мощной детской операционной Приморья
За год в отделении хирургии Краевой детской клинической больницы №1 проводят более 4 тысяч операций
Напомним, что ИА PrimaMedia подготовило репортаж из самой мощной детской операционной Приморья, где царит сосредоточенная тишина, нарушаемая лишь ровным гудением аппаратуры, и где здесь начинается путь к выздоровлению для многих маленьких пациентов.

