Пошел вкривь. Почему возникает сколиоз и как он лечится
Системное инвалидизирующее заболевание
В интернете встречается много определений сколиоза. Довольно распространенное — искривление позвоночника вбок относительно своей оси. И действительно, наиболее яркий признак заболевания — деформация позвоночного столба во фронтальной плоскости. Однако сколиоз провоцирует и другие нарушения, которые зачастую приводят к инвалидизации. Обязательный компонент болезни — поворот вокруг вертикальной оси позвонков, способствующий 3-плоскостному искривлению позвоночника. При такой деформации даже люди с нормальным неврологическим статусом утрачивают способность передвигаться из-за адской боли в спине.
Лонгитюдное исследование, которое длилось более 40 лет, продемонстрировало, что пациенты с запущенным сколиозом в 3 раза чаще страдают от хронической боли и в 20 раз чаще от сильной и пронизывающей боли, чем люди со здоровым позвоночником.
Кроме того, сколиоз изменяет форму, расположение и работу всех жизненно важных органов, что провоцирует целый ряд соматических болезней.
В связи с серьезными последствиями для здоровья сколиоз сегодня рассматривается не как заболевание опорно-двигательной системы, а как тяжелая системная патология.
Сколиоз относится к структуральным деформациям позвоночника, и его стоит отличать от обычного нарушения осанки. При сколиотической деформации рентген выявляет структурные изменения позвоночника, при нарушении осанки они отсутствуют. Нарушение осанки исчезает либо уменьшается при устранении ее причины. Со сколиозом справиться гораздо сложнее. В тяжелых случаях требуется оперативное вмешательство.
Существует четыре стадии развития болезни:
- Первая стадия — скрытая и бессимптомная. Деформация позвоночника незаметна для окружающих и не отражается на самочувствии.
- Вторая стадия влияет и на внешний вид, и на здоровье. Распространенный симптом — разная высота плеч. При перекосе плеч требуется срочная консультация ортопеда, так как без своевременного лечения вторая стадия болезни быстро прогрессирует. Если заболевание поражает грудной отдел позвоночника, то деформируется грудная клетка (выпячиваются ребра, может появляться реберный горб), что провоцирует проблемы с дыханием.
- Третья стадия — зачастую инвалидизирующая. Наблюдается перекос предплечий, ребер, лопаток, линия талии смещается в сторону. Возникают мучительные боли в спине, нарушается кровообращение и работа многих органов. Распространенные спутники третьей стадии — тяжелые заболевания легких, сердца, почек, атрофия мышц, гинекологические болезни. Недостатки внешности и постоянная боль создают благоприятную почву для развития депрессии и других психических расстройств.
- Четвертая стадия сопровождается нарушением функций всех органов и систем. Изменяется строение тазовых костей, что провоцирует застойные явления в желудочно-кишечном тракте и желчном пузыре. Сильная деформация грудной клетки приводит к снижению емкости легких и развитию постоянной одышки. Частые сердечно-сосудистые осложнения — артериальная гипертензия и сердечная недостаточность.
3–4-я стадия сколиотической болезни развивается у каждого пятого пациента со сколиозом.
63% людей с тяжелыми деформациями позвоночника становятся инвалидами, причем до 12% из них сталкиваются с инвалидизацией в молодом возрасте.
Распространенность заболеваний сердца при выраженной сколиотической болезни составляет 71%, легочной гипертензии — 75%. У 43,8% подростков с третьей и у 65,1% с четвертой стадией сколиоза обнаруживаются признаки «кифосколиотического» (легочного) сердца — гипертрофии и растяжения правого предсердия и желудочка, возникающих из-за повышения внутригрудного давления и недостатка кислорода. Кислородная недостаточность не компенсируются даже гипервентиляцией легких, которая при сколиозе 4-й стадии составляет 300%.
Основным методом диагностики сколиоза служит рентгенологическое обследование, которое позволяет оценить угол Кобба, отражающий выраженность искривления позвоночника. Первой стадии сколиотической болезни соответствует искривление до 9°, при последней угол Кобба превышает 75°.

Теории возникновения
История изучения сколиотической болезни уходит в античные времена. Древнегреческий целитель Гиппократ сравнивал искривленный позвоночник с корявым древесным стволом и пытался найти способы выпрямления «изуродованного» позвоночного столба. Гиппократовы методы терапии сколиоза (гимнастика, лечебные ванны) и сегодня используются медиками для лечения легких форм сколиотической деформации. Интересно, что уже в то время ученый знал о возможных осложнениях сколиоза со стороны разных систем организма. Для профилактики легочных осложнений он предлагал пациентам громко петь и использовать специальные техники дыхания.
В течение последующих веков врачи и ученые пытались найти причину сколиоза, однако до сих пор не существует единого мнения о его патогенезе. Современные медики при выявлении сколиотической деформации в 80% случаев ставят диагноз «идиопатический сколиоз». Термин идиопатический означает, что заболевание является многофакторным и его первопричина неизвестна.
Манифестация идиопатического сколиоза приходится на детский и подростковый возраст. Чаще всего он возникает в периоды резкого роста: в возрасте от полугода до двух лет, от 5 до 8 лет и от 11 до 14 лет. Наиболее быстро сколиоз прогрессирует в начале пубертата.
Распространенность подросткового идиопатического сколиоза с углом Кобба выше 10° составляет до 12%. Прогрессирование заболевания гораздо чаще наблюдается в женской популяции, чем в мужской. Существует версия, что такое гендерное неравенство в заболеваемости сколиозом может быть связано с участием в его патогенезе женских половых гормонов.
Если после завершения роста ребенка угол Кобба превышает 30–50°, то значительно возрастает риск прогрессирующих тяжелых заболеваний и инвалидизации во взрослой жизни.
Ранее наиболее популярной теорией возникновения сколиоза была «школьная»: заболевание возникает у школьников из-за длительного пребывания за партой в одной и той же неподвижной позе. Сегодня эта теория считается устаревшей.
Также выдвигались гипотезы о связи определенных видов спорта с развитием сколиоза. Например, некоторые исследования демонстрировали, что плавание, которое традиционно рекомендуется пациентам с деформацией позвоночника, может способствовать развитию сколиотической болезни. Однако, по мнению экспертов Международного общества по ортопедическому и реабилитационному лечению сколиоза (SOSORT), на данный момент нет никаких убедительных доказательств способности плавания и других видов спорта увеличивать риск развития сколиоза.
В конце прошлого века российский ортопед Михаил Дудин в ходе исследований выяснил, что в патогенезе сколиоза может участвовать гиперпродукция гормонов, стимулирующих рост костной ткани. В организме пациентов с прогрессирующей сколиотической деформацией позвоночника повышена выработка кальцитонина и соматотропина, ускоряющих рост костей, хрящей. Из-за гиперпродукции этих гормонов позвоночник растет слишком быстро, что приводит к скручиванию позвонков и возникновению деформации.
Зарубежные исследования подтверждают эту теорию. У девушек-подростков с тяжелой формой заболевания наблюдается более быстрый рост скелета по сравнению с их ровесницами без сколиотической деформации позвоночника. Как правило, они выше ростом и имеют больший вес, чем контрольные группы.
Возникновение сколиоза может быть связано с генетикой. Жертвами болезни чаще становятся люди, у которых есть родственники первой степени, страдающие идиопатическим сколиозом. Если у одного из монозиготных близнецов (имеющих практически одинаковую генетику) обнаруживается сколиоз, то у второго он диагностируется в 73% случаев. Развитие этого заболевания у обоих дизиготных близнецов (имеющих в среднем 50% совпадающих аллелей) наблюдается в 36% случаев.
Некоторые исследования демонстрируют связь сколиоза с дефицитом либо нарушением биоритма секреции мелатонина. Этот гормон не только регулирует циркадные ритмы, но и участвует в других важных процессах, включая пролиферацию остеобластов — стволовых клеток, образующих костную ткань. Уровень мелатонина в сыворотке крови пациентов с идиопатическим сколиозом гораздо ниже, чем у людей без него.
Уникальное исследование провели ученые Новосибирского НИИТО им. Я.Л. Цивьяна. Они изучили структуру деформации позвоночника прооперированных детей со сколиозом 3–4-й стадии и выяснили, что пластинки роста на ее вогнутой стороне имеют аномалии. Пластинки роста — участки хрящевой ткани, за счет которых происходит рост костей. Они встречаются только у детей и подростков. Как только ребенок перестает расти, эти участки закрываются, отвердевают и трансформируются в костную ткань. Выпуклая часть позвоночника, пораженного сколиозом, проходит нормальные стадии роста.
В то же время клетки хрящевой ткани на его вогнутой части эти стадии не проходили.
Ученые пришли к выводу, что причиной болезни могут быть нарушения формирования позвоночника во время внутриутробного развития. В позвонках вогнутой части искривленного позвоночника обнаруживаются клетки нервного гребня. Во время внутриутробного развития эти клетки отделяются от нервной трубки, мигрируют по эмбриону и дают начало нейронам периферической нервной системы, глиальным клеткам. В норме они не должны накапливаться в пластинках роста. При их внедрении в тела позвонков последние утрачивают способность к росту.

Методы лечения
В отличие от нарушений осанки, этиология идиопатического сколиоза до конца не известна, поэтому каких-либо эффективных методов его профилактики нет. Для предотвращения тяжелых деформаций позвоночника важно диагностировать заболевание на ранней стадии и вовремя начать лечение. Особенно это касается детей, вступивших в пубертат. Риск прогрессирования заболевания в начале полового созревания составляет 20% при 10-градусном сколиозе, 60% при 20-градусном и 90% при 30-градусном.
Один из признаков сколиоза, которые могут заметить родители у ребенка, — разная высота плеч. Кроме того, можно провести тест Адамса: ребенок становится лицом к родителю и наклоняется вперед так, чтобы пальцы касались пола, а спина находилась в горизонтальной плоскости. Взгляд родителя направлен в этой же плоскости, что позволяет заметить малейшие деформации позвоночника.
Согласно приказу Минздрава, реабилитация детей со сколиозом должна проводиться междисциплинарной командой, в которую включаются ортопед, врач ЛФК, физиотерапевт, рефлексотерапевт, психолог. Существуют консервативные и хирургические методы лечения заболевания. Первые наиболее эффективны при 1–2-й степени сколиоза, при тяжелых формах болезни они носят вспомогательный характер.
К консервативному лечению относится ношение специальных бандажей, корригирующие упражнения. SOSORT рекомендует применять бандажи при угле Кобба 20° ± 5° либо при менее выраженной деформации, которая быстро прогрессирует.
Корригирующие упражнения должны подбираться специалистами индивидуально для каждого пациента. Неправильно подобранная гимнастика может ускорить прогрессирование сколиоза, привести к серьезным деформациям спины и грудной клетки, снизить физическую активность и качество жизни.
SOSORT одобрено 8 физиотерапевтических методик коррекции деформации позвоночника. Метаанализ 123 статей показал, что наиболее эффективная из них — методика Шрота.
В течение полугода она в среднем уменьшает угол Кобба на 2,53°. Однако упражнения Шрота работают, только если выполняются под наблюдением специалиста. При выполнении их в домашних условиях существенных изменений угла Кобба не наблюдается. Кроме того, эффективность методики Шрота и других корригирующих упражнений зависит от выраженности сколиоза. При угле Кобба более 25° лечение сколиоза только с помощью гимнастики неэффективно. Реабилитация таких пациентов должна включать упражнения и ношение бандажей.
Методика Шрота основана на упражнениях, которые учитывают особенности деформации позвоночного столба конкретного пациента. Ее основные компоненты:
- Упражнения, направленные на восстановления симметрии мышечного тонуса. Деформация позвоночника провоцирует ослабление одних мышц спины и гипертонус других. Гимнастика Шрота устраняет эти проблемы.
- Специальная техника дыхания, способствующая восстановлению формы грудной клетки.
- Обучение навыкам поддержания правильной осанки.
Шрот-терапия применяется во многих российских частных и государственных клиниках. Например, ее используют в своей практике специалисты НМИЦ имени Г.И. Турнера.
Важная часть консервативного лечения — общая физическая активность. Люди со сколиозом, ведущие активный образ жизни, имеют более высокие показатели психического и соматического здоровья. Эксперты SOSORT рекомендует пациентам со сколиозом активно заниматься спортом, посещать занятия по физкультуре на всех этапах лечения. Исключение — тяжелые формы сколиоза, при которых нагрузка может ограничиваться. При ношении бандажей рекомендуется избегать контактных видов спорта и очень интенсивных тренировок.
Согласно российскому клиническому опыту, к эффективным методам лечения сколиоза также относятся массаж, вертебральная, краниальная, висцеральная мануальная терапия, КВЧ-терапия, электростимуляция и магнитотерапия.
При тяжелых формах сколиоза либо его быстром прогрессировании рассматривается вопрос хирургического лечения. В таком лечении нуждается до 75% детей с углом Кобба 20–30° при начале пубертатного периода даже после ношения бандажей.
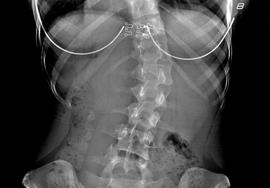
Стандартная операция при сколиозе — спондилодез. Во время оперативного вмешательства с помощью специальных конструкций обездвиживаются определенные позвоночно-двигательные сегменты, что способствует сращению позвонков. В большинстве случаев такая операция эффективна, но у нее есть несколько существенных недостатков, включая ограничение потенциала роста позвоночника и свободы движений.
Недавно в России появилась альтернатива спондилодезу — вентральная динамическая коррекции позвоночника, которая может применяться как у растущих детей и подростков, так и у взрослых.
Преимущества операции — сохранение потенциала роста позвоночника, свободы движений, низкий риск кровопотери, короткий реабилитационный период. В отличие от стандартной операции, во время хирургического вмешательства мышцы спины не рассекают, поэтому пациенты очень быстро восстанавливаются. Реабилитационный период длится в среднем месяц. Через 1,5 месяца человек возвращается к неограниченной физактивности. В России первыми внедрили эту операцию в клиническую практику врачи медицинского центра им. Н.Н. Приорова.