Комментарии 0
...комментариев пока нет
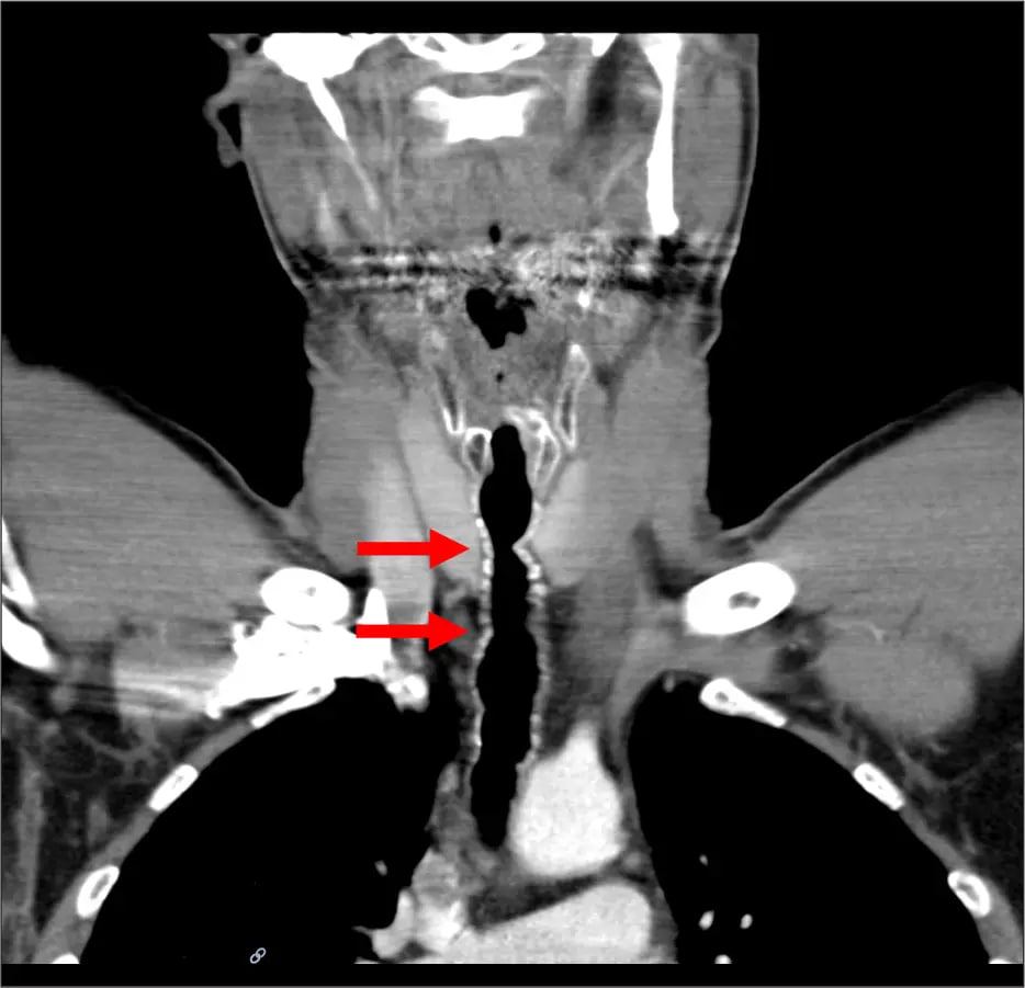
У 52-летнего курильщика в горле выросли волосы, — Daily Mail
Впервые мужчина обратился к в больницу еще в 2007 году с жалобами на хриплый голос, постоянный кашель и затрудненное дыхание. Врачи обнаружили, что в его горле начали расти волосы там, где ранее была проведена операция по пересадке кожи. Предполагается, что именно сигаретный дым повлиял на рост волос в «неположенном месте».
На протяжении 14 лет мужчина регулярно посещал больницу для удаления волос, однако только после того, как он бросил курить в 2022 году, врачи смогли окончательно решить проблему с помощью лазерной процедуры.
Подписаться / Прислать новость