Болезнь вейперов EVALI выявлена у подростка в Томске

Фото: телеграм-канал "Роспотребнадзор Томск"
Новую болезнь EVALI, которая возникает из-за вейпов, обнаружили у подростка в Томске. Об этом сообщается в телеграм-канале регионального управления Роспотребнадзора.
"В Томске уже доказаны случаи заболеваний, возникшие у детей подросткового возраста после употребления подобных курительных смесей. У одного пациента стоит диагноз EVALI, у другого – токсическое воздействие курительных смесей на центральную нервную систему", – уточнило ведомство.
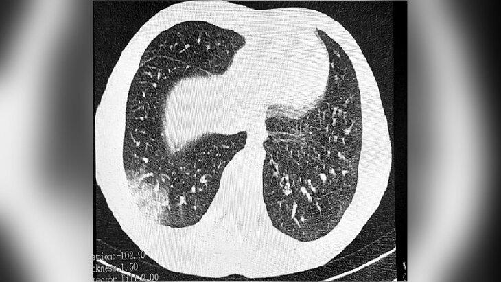
Как указал Роспотребнадзор, в настоящее время не существует эффективного лечения такой формы бронхиолита, а заболевание появляется из-за ароматизатора диацетил. Он безопасен при употреблении вместе с пищей, однако способен привести к болезни легких, отметило ведомство.
Врачи выявляют заболевание во время прослушивания легких, которые издают звук, напоминающий треск лопающегося попкорна. Из-за этого болезнь называют также и "попкорновой". Она проявляется в виде воспаления, образования рубцов в легких и сужения бронхиол.
Роспотребнадзор добавил, что держит на контроле точки торговли никотиносодержащей продукции и ведет борьбу с контрафактом.
Минздрав предупреждал о новой болезни от вейпов и электронных сигарет EVALI летом прошлого года. Симптомы заболевания при этом во многом похожи на коронавирус.
У пациентов наблюдаются температура, общая слабость и недомогание, кашель и одышка. Однако одним из первых симптомов EVALI принято считать нарушение пищеварительной системы.
"Безопасный город": новое заболевание от вейпов EVALI вызывает поражение бронхов