Комментарии 0
...комментариев пока нет
Новость из мира гинекологии, которую вы не должны пропустить — в России бесплодие будут лечить с помощью лазера!
Специалисты Сеченовского университета впервые применили гольмиевый лазер для лечения эндометриоза — болезни, от которой страдает примерно каждая десятая женщина. В числе самых неприятных последствий — болезненные менструация и бесплодие.
Осторожно Media ознакомились с принципами работы устройства и убедились — методика не только устраняет проблему, но и позволяет пациентам восстановиться уже через 3-5 дней после операции.
Сейчас применяются два способа лечения эндометриоза — хирургический и медикаментозный. В первом случае всё часто заканчивается удалением матки. Но даже если получается обойтись без этого — на ней остаётся большой рубец, а эндометриоз со временем может прогрессировать. Лекарства же дают временный эффект и могут нарушить гормональный цикл.
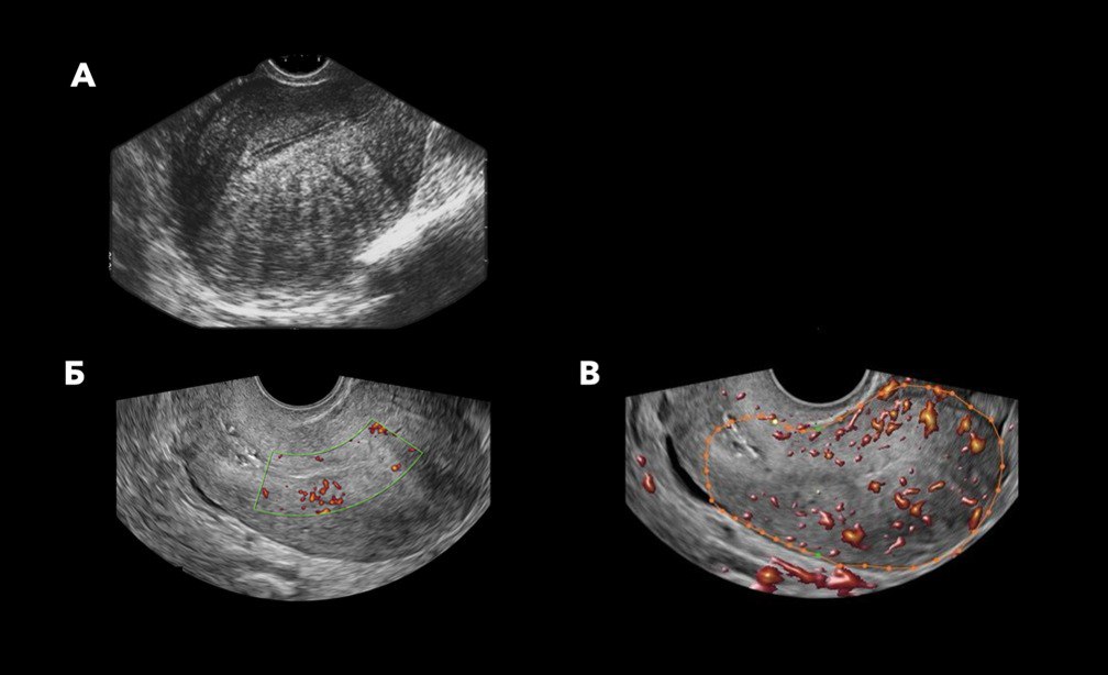
Гольмиевый лазер работает иначе — луч прицельно испаряет очаги эндометриоза. Процесс при этом контролируется с помощью ультразвукового сканера, что снижает риск повреждения сосудов и тканей.
Также, благодаря прижиганию, снижается риск возникновения тромбов, а пациент после операции восстанавливается быстрее:
Особенности работы лазера исключают повторное кровотечение и уменьшают вероятность образования тромбов. Лазерные ранки заживают в течение 3-5 дней, тогда как обычно им требуется от 7 дней.
Анатолий Ищенко — профессор кафедры акушерства и гинекологии №1 Сеченовского Университета.
Результаты потрясающие! Уже через полгода после процедуры болезненность менструаций существенно снижается. А беременность у 470 пациенток, прошедших процедуру, протекала гораздо лучше, чем у тех, кто использовал традиционные методы.