ΠΠΎΠΌΠΌΠ΅Π½ΡΠ°ΡΠΈΠΈ 0
...ΠΊΠΎΠΌΠΌΠ΅Π½ΡΠ°ΡΠΈΠ΅Π² ΠΏΠΎΠΊΠ° Π½Π΅Ρ
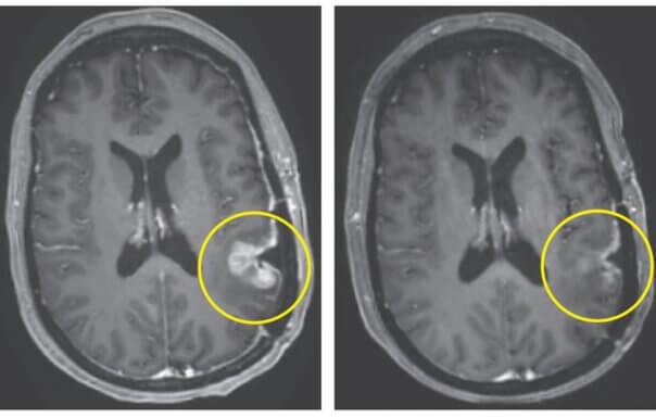
π±ΠΠ»Π°Π³ΠΎΠ΄Π°ΡΡ Π½ΠΎΠ²ΠΎΠΌΡ ΡΠΏΠΎΡΠΎΠ±Ρ ΡΠ΅ΡΠ°ΠΏΠΈΠΈ ΠΎΠΏΡΡ ΠΎΠ»Ρ ΠΌΠΎΠΆΠ΅Ρ ΠΈΡΡΠ΅Π·Π½ΡΡΡ Π·Π° 5 Π΄Π½Π΅ΠΉ
ΠΡΡΠ»Π΅Π΄ΠΎΠ²Π°ΡΠ΅Π»ΠΈ ΠΈΠ· ΠΎΠ½ΠΊΠΎΠ»ΠΎΠ³ΠΈΡΠ΅ΡΠΊΠΎΠ³ΠΎ ΡΠ΅Π½ΡΡΠ° ΡΠ°ΡΡΠΊΠ°Π·Π°Π»ΠΈ ΠΎ ΡΠ΅ΡΠ°ΠΏΠΈΠΈ CAR-T, ΠΊΠΎΡΠΎΡΠ°Ρ ΡΠ°Π±ΠΎΡΠ°Π΅Ρ Π·Π° ΡΡΠ΅Ρ ΠΈΡΠΏΠΎΠ»ΡΠ·ΠΎΠ²Π°Π½ΠΈΡ ΡΠΎΠ±ΡΡΠ²Π΅Π½Π½ΡΡ ΠΊΠ»Π΅ΡΠΎΠΊ ΠΏΠ°ΡΠΈΠ΅Π½ΡΠ° Π΄Π»Ρ Π±ΠΎΡΡΠ±Ρ Ρ ΡΠ°ΠΊΠΎΠΌ.
Π ΠΈΡΡΠ»Π΅Π΄ΠΎΠ²Π°Π½ΠΈΠ΅ Π±ΡΠ»ΠΈ Π²ΠΊΠ»ΡΡΠ΅Π½Ρ ΡΡΠΈ ΠΏΠ°ΡΠΈΠ΅Π½ΡΠ°. ΠΡ Π’-ΠΊΠ»Π΅ΡΠΊΠΈ Π±ΡΠ»ΠΈ ΡΠΎΠ±ΡΠ°Π½Ρ, ΠΌΠΎΠ΄ΠΈΡΠΈΡΠΈΡΠΎΠ²Π°Π½Ρ Π² Π½ΠΎΠ²ΡΠ΅ ΠΊΠ»Π΅ΡΠΊΠΈ CAR-TEAM, Π° Π·Π°ΡΠ΅ΠΌ Π²Π²Π΅Π΄Π΅Π½Ρ ΠΎΠ±ΡΠ°ΡΠ½ΠΎ ΠΊΠ°ΠΆΠ΄ΠΎΠΌΡ ΠΏΠ°ΡΠΈΠ΅Π½ΡΡ.
Π§Π΅ΡΠ΅Π· Π½Π΅ΡΠΊΠΎΠ»ΡΠΊΠΎ Π΄Π½Π΅ΠΉ ΠΏΠΎΡΠ»Π΅ ΠΎΠ΄Π½ΠΎΠΊΡΠ°ΡΠ½ΠΎΠ³ΠΎ Π»Π΅ΡΠ΅Π½ΠΈΡ Ρ Π±ΠΎΠ»ΡΠ½ΡΡ Π½Π°Π±Π»ΡΠ΄Π°Π»ΠΎΡΡ Π·Π½Π°ΡΠΈΡΠ΅Π»ΡΠ½ΠΎΠ΅ ΡΠΌΠ΅Π½ΡΡΠ΅Π½ΠΈΠ΅ ΡΠ°Π·ΠΌΠ΅ΡΠΎΠ² ΠΎΠΏΡΡ ΠΎΠ»Π΅ΠΉ, Π° Ρ ΠΎΠ΄Π½ΠΎΠ³ΠΎ ΠΏΠ°ΡΠΈΠ΅Π½ΡΠ° Π² ΡΠ΅ΡΠ΅Π½ΠΈΠ΅ 5 Π΄Π½Π΅ΠΉ Π±ΡΠ»Π° Π΄ΠΎΡΡΠΈΠ³Π½ΡΡΠ° ΠΏΠΎΡΡΠΈ ΠΏΠΎΠ»Π½Π°Ρ ΡΠ΅Π³ΡΠ΅ΡΡΠΈΡ.
ΠΠΎΠ΄ΡΠΎΠ±Π½Π΅Π΅ ΠΎΠ± ΠΈΡΡΠ»Π΅Π΄ΠΎΠ²Π°Π½ΠΈΠΈ ΡΠΈΡΠ°ΠΉΡΠ΅ Π² Π½Π°ΡΠ΅ΠΌ ΠΌΠ°ΡΠ΅ΡΠΈΠ°Π»Π΅. ΠΠ΅Π΄ΠΈΠΊΠΈ β Π³Π΅Π½ΠΈΠ°Π»ΡΠ½ΡΠ΅ Π»ΡΠ΄ΠΈ π
Techinsider