Воронежанке вырезали опухоль мозга размером с грейпфрут

Операция длилась шесть часов 

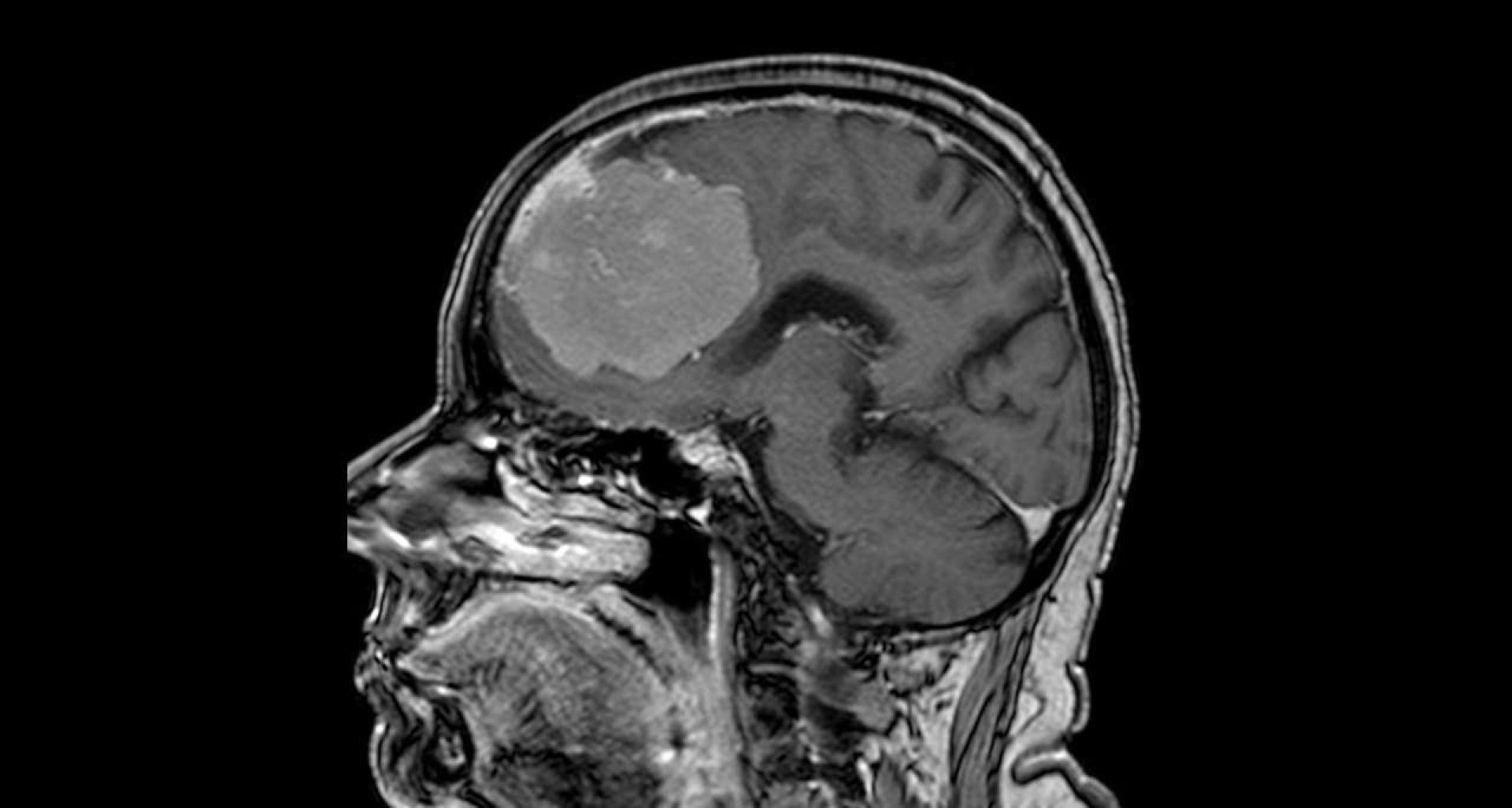
Воронежанке удалили опухоль мозга размером с грейпфрут 

Воронежанке удалили опухоль головного мозга размером с грейпфрут, сообщили в БСМП № 1. 

80-летняя женщина попала с больницу с подозрением на инсульт. У неё были проблемы с речью и слабость в правой руке. Этого недуга у женщины не обнаружили, однако после МРТ стало понятно, что причина недомогания кроется в гигантской опухоли, которая располагается на обеих лобных долях мозга и давит на крупные артерии. 

 Врачи назначили пациентке операцию. Важно было не только избавиться от новообразования, но и не повредить артерии и сосуды. Вмешательство длилось шесть часов, нейрохирурги Павел Юров и Виталий Бойко удаляли опухоль миллиметр за миллиметром. В итоге операция завершилась успешно.

Сейчас женщина уже идёт на поправку. Её выписали из больницы, она может сама за собой ухаживать. Проблемы с речью и другие жалобы пропали сразу после вмешательства.