Опухоль размером с дыню удалили воронежанке

У горожанки было подозрение на рак 

Жительнице Воронежа вырезали опухоль размером с дыню 

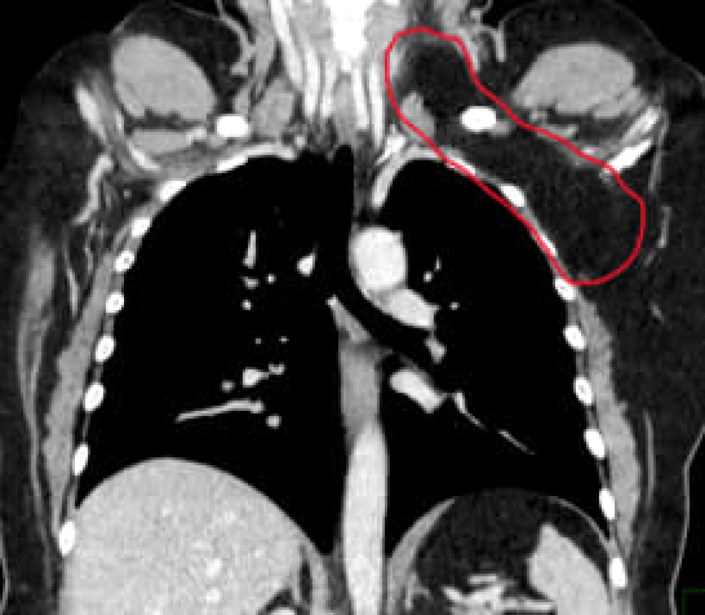
Опухоль размером с дыню, 20 х 15 сантиметров, удалили воронежанке, сообщил региональный Минздрав.

50-летняя женщина обратилась к медикам в онкоцентр, когда заметила новообразование в области левой надключичной ямки. Опухоль начала расти и доставляла дискомфорт.

Сначала горожанке поставили страшный диагноз — рак, липосаркома. К счастью, при дальнейших исследованиях вердикт не подтвердился. Выяснилось, что опухоль доброкачественная, липома. Она формируется из патологически разрастающейся жировой ткани.

Новообразование занимало две области организма, надключичную и грудную, а также окутывала жизненно-важные структуры. Команда медиков во главе с кандидатом медцинских наук Михаилом Фонштейном провела сложную операцию и вырезала опухоль.

Сейчас женщина идёт на поправку и чувствует себя хорошо.