Зубы мудрости: нужны ли они в XXI веке
Зубы мудрости, или третьи моляры, - постоянные "гости" нашего взросления. Они появляются в глубине рта, обычно в возрасте от 17 до 25 лет. Но зачем они нам в XXI веке, если почти всегда приносят боль и неудобства?

Почему у нас всё ещё растут зубы мудрости — и нужно ли их удалять
Профессор антропологии Дебби Гуателли-Стайнберг объясняет: всё дело в эволюции. У наших предков рацион был совсем не таким, как сейчас — в нём было много сырого мяса, орехов и прочей жёсткой пищи. Челюсти были шире и мощнее, а дополнительные зубы играли важную роль в процессе пережёвывания.
Сегодняшние мягкие диеты и обработанная еда привели к тому, что челюсть человека уменьшилась в размере. А зубы мудрости, похоже, об этом не узнали: они продолжают расти, но часто не находят себе места.
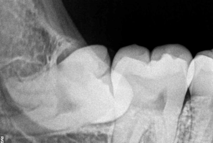
Больше проблем, чем пользы
Статистика неутешительна: у 80 % взрослых зубы мудрости вызывают сложности. Их частичное прорезывание может стать причиной воспаления, боли и даже инфекций. Даже если они не доставляют серьёзных проблем, сам процесс их появления редко проходит безболезненно.
В Великобритании около 80 % этих зубов удаляют, а в США и вовсе чаще. Но не всё так однозначно: специалисты считают, что профилактическое удаление может быть ненужным. По данным исследований, лишь 12 % ретинированных (не полностью прорезавшихся) зубов действительно вызывают осложнения.
Удалять или не удалять
Интересно, что эксперты сравнивают зубы мудрости с аппендиксом. Его наличие может обернуться проблемой, но это не значит, что его нужно удалять "на всякий случай". С зубами мудрости похожая история: если они не мешают, возможно, их лучше оставить в покое.
Окончательный ответ остаётся за стоматологом — и вашим собственным телом.
Уточнения
Зуб - костное образование, во множестве расположенное в ротовой полости большинства позвоночных.