1 / 2
Комментарии 0
...комментариев пока нет
Саратовские врачи провели сложнейшую операцию и помогли подростку победить редкую паразитарную болезнь
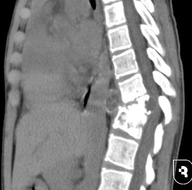
Обследование показало, что причиной симптомов стал компрессионный перелом десятого грудного позвонка, вызванный редким паразитарным заболеванием — эхинококкозом.
После подтверждения диагноза и исключения поражения других органов, врачи приняли решение о сложнейшей трехэтапной операции. Перед этим мальчику назначили терапию для борьбы с паразитами. На первом этапе медики выполнили левостороннюю торакотомию, удалили эхинококковую кисту и частично два позвонка. Затем исправили деформацию позвоночника с помощью специальной системы, после чего провели вторую операцию на грудной клетке и установили протез позвонка.
Во время хирургического вмешательства были обнаружены многочисленные эхинококковые кисты разного размера. Все доступные удалили, а крупные — пунктировали, чтобы избавиться от их содержимого.
Операция прошла успешно, и уже через два дня пациент начал восстанавливаться. Спустя пять лет, юноша ведет активную жизнь, учится в вузе и регулярно проходит осмотры у специалистов. Благодаря своевременному вмешательству и правильному лечению, рецидив заболевания пока не обнаружен.
«Сложность проведенной операции и достигнутый результат наглядно демонстрируют высокий уровень профессионализма врачей СГМУ. Мы продолжаем совершенствоваться, чтобы помогать нашим пациентам побеждать даже самые редкие и сложные болезни. Такие достижения подтверждают нашу миссию — быть на передовой медицинской науки и практики, спасая жизни и возвращая здоровье каждому пациенту»,- отметил ректор Саратовского медуниверситета Андрей Еремин.