Комментарии 0
...комментариев пока нет
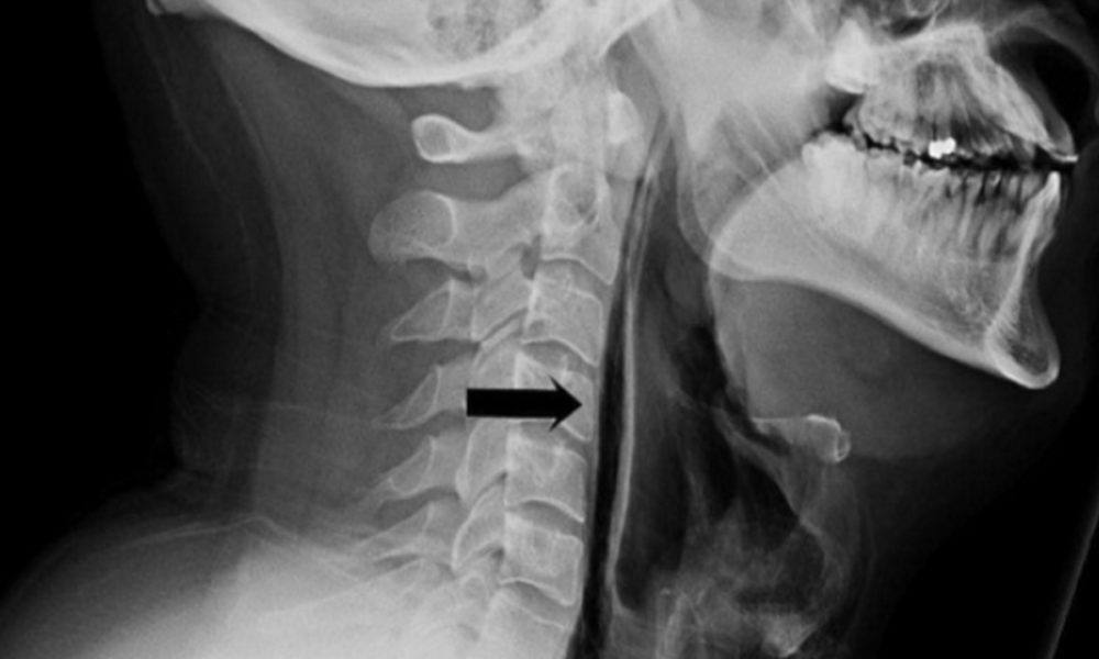
Житель Карелии порвал себе глотку во время чихания.
34-летний мужик пытался сдержать чих и зажал нос. Когда гений всё же чихнул, то ощутил толчки в шее — через время она опухла. У бедолаги случился спонтанный разрыв пищевода.
Врачи рекомендуют не закрывать нос при чихе, так как это может привести к разрыву аневризмы головного мозга.
0 дней без новых фобий