Ну и методы: врачи вылечили тошноту у женщины, напоив ее диетической колой

Источник:

iStock/AaronAmat

Газировки вредны для зубов, сердца, сосудов, желудка и поджелудочной железы, приводят к ожирению, повышают давление и холестерин, увеличивают риск диабета — и это далеко не полный список причин, почему не стоит пить колу и другие сладкие газированные напитки.

Но все есть яд, и все есть лекарство. Оказалось, что даже кола может быть полезна. Врачи из Массачусетса (США) поделились необычным случаем. К ним поступила 63-летняя женщина, которая вот уже месяц страдала от тошноты, рвоты и жгучей боли в верхней части живота справа, отдававшей в спину. Однако все это она списывала на стресс, пыталась лечиться домашними лекарствами от изжоги, но ничто не помогало.

На запоры женщина не жаловалась — наоборот, стул был «обильным». При этом признаков кишечной непроходимости не наблюдалось, однако живот был слегка раздут.

Пациента также рассказала, что в последнее время у нее сильно снизился аппетит. Правда, вот уже год она принимала семаглутид (действующее вещество оземпика), из-за чего похудела на 18 кг. Однако за предыдущий месяц потеря веса как-то резко ускорилась.

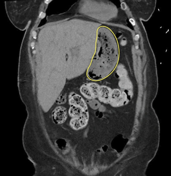
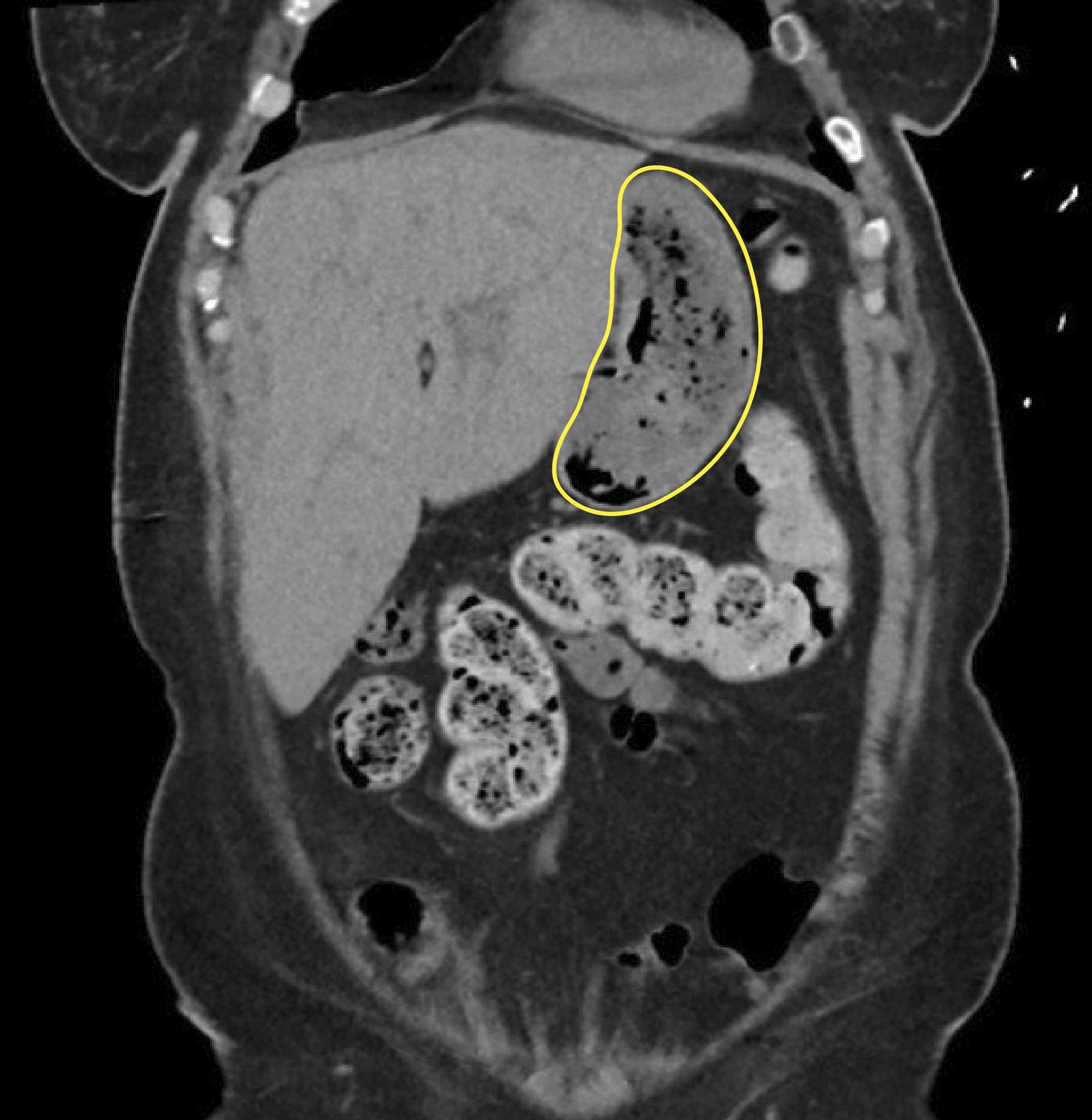
Сканирование с помощью неинвазивного метода МРХПГ (магнитно-резонансная холангиопанкреатография) выявило в желудке образование, похожее на скопление воздуха. А во время эндоскопии врачи обнаружили безоар — комок инородных тел, в данном случае остатков пищи, которые не смогли перевариться и, уплотнившись, превратились в так называемый желудочный камень. Он и стал причиной тошноты, рвоты и боли в животе.

Источник: www.nejm.org
Источник:

www.nejm.org

«Применение семаглутида может замедлить опорожнение желудка, что увеличивает риск образования безоара», — говорится в отчете, опубликованном в The New England Journal of Medicine .

Поэтому первым делом врачи отменили пациентке препарат для похудения. А дальше нужно было очистить желудок от безоара. Твердые и крупные скопления обычно удаляют хирургическим путем, для средних размеров безоаров могут применить эндоскопические методы. Однако в данном случае врачи решили применить неожиданный способ лечения: они растворили желудочный камень с помощью колы.

«У пациентки был сахарный диабет, поэтому ей была рекомендована диетическая кола. А так как она не любила подобные напитки, дозировку в 3000 мл колы в течение 12 часов изменили на 1500 мл в сутки, — рассказывают врачи. — На второй день приема колы пациентка сообщила о внезапном тянущем ощущении в животе, после чего тошнота и дискомфорт в животе быстро уменьшились. Повторная эндоскопия показала отсутствие безоара».

По словам врачей, кола может растворить безоары, образовавшиеся из остатков пищи, при условии, что пациент находится в клинически стабильном состоянии.

«Это вмешательство, как правило, экономически эффективно и связано с меньшим риском осложнений, чем инвазивные процедуры», — объясняют выбранную тактику медики.

Кстати, недавнее исследование китайских ученых на крысах и свиньях показало , что кола снижает риск отравления свинцом при случайном употреблении загрязненной почвы. А все благодаря фосфорной кислоте в составе напитка. Эта кислота превращает свинец в нерастворимый осадок, который потом выводится с калом.

Но, разумеется, заниматься самолечением ни в коем случае нельзя: при любых отравлениях и других жалобах надо обращаться к врачу, а не бежать в магазин за колой.